肩膀痛掛急診!76歲嬤「病情急速惡化」25天後走了 醫師嘆「錯過黃金治療期」病因曝:以為戒了沒事
當身體一直發出警訊時,即便再小也不能輕忽,因為小病恐會潛藏大危機,甚至奪去性命!近日驚傳美國一名76歲婦人因肩膀疼痛就醫,不料竟是重症纏身,診斷出病症後短短25天就病逝,速度快到讓人難以置信,醫師搖頭苦嘆:「錯過黃金治療期!」

圖/翻攝自 CTWANT
Advertisements
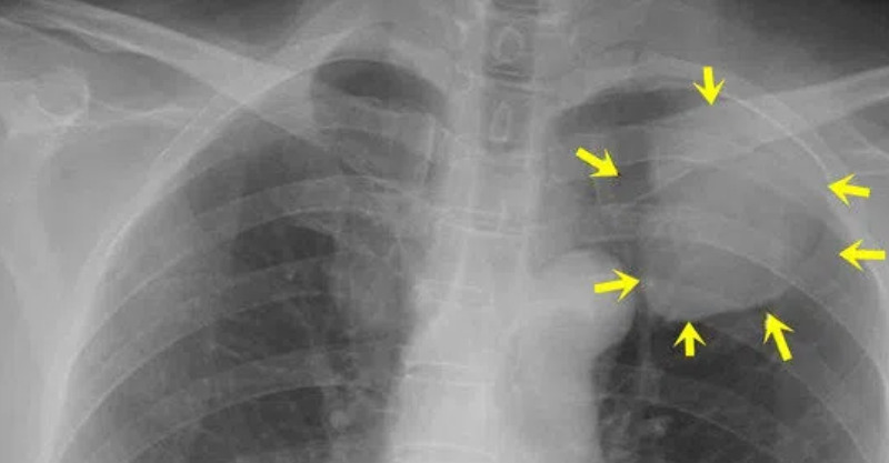
根據《ETtoday》報導,紐澤西紐瓦克市一名急診科醫師2日在《Cureus醫學科學雜誌》分享一個案,透露一名76歲的婦人因為肩膀疼痛難以忍受,緊急掛急診室看診,醫生替她安排精密檢查,做完電腦斷層掃描與骨頭的活體組織檢查後,發現左肺底部有腺癌,竟是肺癌纏身,儘管癌細胞沒有擴散至肩膀,但其中一癌變位置在脊椎上,醫生推測是此處引起肩痛!

圖/翻攝自 三立新聞
Advertisements
外媒《INSIDER》指出,這名婦人對於自己罹患肺癌感到驚訝,雖然過去曾有1天1包菸並持續5年的抽菸史,但她早已戒菸,所以當她身體不適時,完全沒想過自己會罹肺癌,遺憾的是,婦人確診後病情急速惡化,短短25天後就病逝,令人不甚唏噓。

圖/翻攝自 知乎專欄